ログイン

カテゴリー

  • 循環器Physical Examination―診断力に差がつく身体...
    • 1.頸静脈の診かた
      • 図1 頸静脈の観察
      • 図3 Kussmaul徴候
      • 図4 三尖弁逆流症(TR)による収縮期陽性波
      • 図5 頸静脈の巨大a波(肺高血圧症の症例)
      • 図6 頸静脈圧が著明に上昇すると,臥位で内頸静...
      • 図6 頸静脈圧が著明に上昇すると,臥位で内頸静...
    • 9.Ⅳ音,ギャロップの聴きかた
      • 図1 Ⅳ音の発生機序 b
      • 図2 肥大型心筋症で聴かれるⅣ音
      • 図3 心筋梗塞後に聴かれるⅣ音
      • 図4 肺高血圧症の患者で聴取された右心性Ⅳ音
      • 図5 典型的なギャロップ・リズム a
      • 図5 典型的なギャロップ・リズム b
      • 図6 心不全患者で聴取されたギャロップ・リズム
      • 図7 四部調律 a
      • 図8 大動脈弁狭窄症(AS)のⅣ音
    • 8.Ⅲ音の聴きかた
      • 図2 触知するⅢ音 a
      • 図3 心不全で聴かれる病的Ⅲ音 a
      • 図4 若年健常者で聴かれる生理的Ⅲ音
      • 図5 僧帽弁逆流症(MR)のⅢ音 a
      • 図6 右心性Ⅲ音
      • 図7 僧帽弁開放音(OS) a 胸骨左縁第3肋間
      • 図7 僧帽弁開放音(OS) a 心尖
      • 図8 心膜ノック音 a
    • 7.Ⅱ音の聴きかた
      • 図2 完全右脚ブロック患者でみられたⅡ音の病的呼...
      • 図3 心房中隔欠損症(ASD)患者でみられたⅡ音の...
      • 図4 完全左脚ブロック患者でみられたⅡ音の奇異性...
      • 図5 高血圧性心疾患患者でみられたⅡ音の奇異性分...
      • 図6 高血圧患者でみられたⅡAの亢進
      • 図7 重症大動脈弁狭窄症(AS)患者でみられたⅡA...
      • 図8 肺高血圧症患者でみられたⅡPの亢進 胸骨左...
      • 図8 肺高血圧症患者でみられたⅡPの亢進 心尖部
    • 6.Ⅰ音,駆出音の聴きかた
      • 図2 僧帽弁狭窄症(MS)のⅠ音亢進 a
      • 図3 Ebstein奇形 a
      • 図4 Wenckebach型第二度房室ブロックで認められ...
      • 図5 第一度房室ブロックに伴うⅠ音の減弱
      • 図6 大動脈二尖弁に伴う大動脈駆出音 a
      • 図7 肺動脈弁狭窄に伴う肺動脈駆出音 a
      • 図7 肺動脈弁狭窄に伴う肺動脈駆出音 b
      • 図8 肺高血圧症に伴う肺動脈駆出音
    • 5.腹部,四肢の診かた
      • 図1 腹部大動脈瘤(AAA)の拍動 a
      • 図1 腹部大動脈瘤(AAA)の拍動 b
      • 図2 三尖弁逆流による肝拍動  左
      • 図2 三尖弁逆流による肝拍動  右
      • 図6 下肢うっ滞性皮膚炎
      • 図7 コレステロール塞栓症
    • 4.右室拍動,そのほかの拍動の診かた
      • 図2 右室拍動の触知 a
      • 図2 右室拍動の触知 b
      • 図4 肺高血圧症患者の抬起性右室拍動
      • 図5 重症MRの左房拍動 b
      • 図6 肺動脈性肺高血圧症患者の肺動脈拍動
      • 図7 右室拡大時の心尖の動き b
      • 図8 両室拡大時の心尖の動き a
      • 図8 両室拡大時の心尖の動き b
      • 図8 両室拡大時の心尖の動き d
    • 3.心尖拍動の診かた
      • 図3 拡張型心筋症患者の心尖拍動の外側偏位 a
      • 図4 肥大型心筋症患者の心尖拍動 a
      • 図4 肥大型心筋症患者の心尖拍動 b
      • 図5 拡張型心筋症患者の心尖拍動 a
      • 図5 拡張型心筋症患者の心尖拍動 b
      • 図6 僧帽弁逆流症(MR)患者の心尖拍動 a
      • 図6 僧帽弁逆流症(MR)患者の心尖拍動 b
      • 図7 収縮性心膜炎に伴う収縮期陥凹
      • 図8 心尖拍動が左室拍動であることの確認
    • 2.頸動脈の診かた
      • 図1 頸動脈の視診 a
      • 図1 頸動脈の視診 b
      • 図4 頸動脈で聴取されたbruit
      • 図6 AS患者の頸動脈拍動(遅脈,小脈) 触診
      • 図6 AS患者の頸動脈拍動(遅脈,小脈) 舌圧子
      • 図7 AR患者の頸動脈拍動(速脈,大脈)
    • 症例2 60代男性.僧帽弁逆流症
      • 図2 心尖拍動 a
      • 図8 リウマチ性MR(心房細動例) b 下
      • 図8 リウマチ性MR(心房細動例) b 上
      • 図8 リウマチ性MR(心房細動例) a
      • 図7 click and late systolic murmur b
      • 図7 click and late systolic murmur a
      • 図6 ダイヤモンド型の重症MR 雑音
      • 図5 僧帽弁後尖P2 逸脱によるMR a 心尖
      • 図5 僧帽弁後尖P2 逸脱によるMR a 胸骨右縁第2...
      • 図3 心音
      • 図2 心尖拍動 b
    • 症例1 70代女性.大動脈弁狭窄症
      • 図2 頸動脈の触診 a
      • 図3 頸静脈と右房圧波形 a
      • 図4 心尖拍動 a
      • 図5 心音 胸骨右縁第2肋間
      • 図5 心音 心尖
      • 図6 心音(右鎖骨)
    • 12.連続性雑音の聴きかた
      • 図3 PDAの連続性雑音 a
      • 図4 Valsalva洞動脈瘤の右室破裂(VSD合併例)a
      • 図4 Valsalva洞動脈瘤の右室破裂(VSD合併例) b
      • 図5 カテーテル検査後に形成された上腕動静脈瘻 b
      • 図6 腹部の異型大動脈縮窄の連続性雑音 b
      • 図7 肺高血圧症患者で聴取された連続性雑音 a
      • 図8 MR+ARの組み合わせによる往復雑音 a
      • 図8 MR+ARの組み合わせによる往復雑音 b
    • 11.拡張期雑音の聴きかた
      • 図3 重症ARのto and fro murmur a
      • 図4 軽症ARのblowing murmur(先天性大動脈二尖...
      • 図5 低調なPR雑音(肺動脈拡大に伴う器質的PR雑...
      • 図6 Graham Steell雑音(肺高血圧症で聴取されたP...
      • 図7 僧帽弁狭窄症(MS)のmid diastolic murmur a
      • 図8 MS患者で聴取されたpresystolic murmur a
    • 10.収縮期雑音の聴きかた
      • 図1 軽症僧帽弁逆流症(MR)のblowing murmur
      • 図2 僧帽弁狭窄症(MS)のrumbling murmur b
      • 図3 大動脈弁狭窄症(AS)の駆出性収縮期雑音 b
      • 図4 MRの逆流性収縮期雑音(全収縮期雑音) b
      • 図6 ASでは期外収縮後に雑音の音量が増す b
      • 図7 MRではRR間隔が変化しても雑音の音量は変化...
    • 症例3 70代男性.大動脈弁逆流症
      • 図2 頸動脈拍動 a
      • 図2 頸動脈拍動 b
      • 図3 上腕動脈 a
      • 図3 上腕動脈 b
      • 図4 心尖拍動 a
      • 図5 right-sided AR 胸骨右縁第3肋間
      • 図5 right-sided AR 胸骨左縁第3肋間
      • 図7 大動脈弁逸脱によるdove coo murmur a
      • 図8 Austin Flint 雑音
    • 症例8 50代男性.心房中隔欠損症
      • 図2 頸静脈拍動(ASD) a
      • 図3 傍胸骨拍動(ASD) a
      • 図4 Ⅱ音の固定性分裂(ASD)
      • 図5 ⅡPの亢進と拡張期ランブル(ASD)
      • 図7 心室中隔欠損症(VSD)の心音 胸骨左縁第4...
      • 図7 心室中隔欠損症(VSD)の心音 心尖
      • 図8 VSDによるEisenmenger症候群 a
    • 症例7 30代男性.拡張型心筋症
      • 図2 心尖拍動 a
      • 図3 傍胸骨拍動 a
      • 図4 心音
      • 図7 summation gallop(重合奔馬調) a:胸骨左...
      • 図7 summation gallop(重合奔馬調)a:心尖
      • 図7 summation gallop(重合奔馬調) b
    • 症例6 30代男性.肥大型心筋症
      • 図2 頸動脈 a
      • 図3 心尖拍動 a
      • 図4 心音 胸骨左縁第4肋間
      • 図4 心音 心尖
      • 図6 Valsalva負荷による雑音変化
      • 図7 Brockenbrough現象
    • 症例5 70代女性.僧帽弁狭窄症
      • 図2 心尖拍動 a
      • 図7 僧帽弁輪石灰化(MAC)によるMS(degenerati...
      • 図7 僧帽弁輪石灰化(MAC)によるMS(degenerati...
      • 図6 MSメロディー b 心尖
      • 図6 MSメロディー b 胸骨左縁第3肋間
      • 図5 Ⅰ音の亢進 a
      • 図4 心エコー図、手術所見 a
      • 図3 心音 心尖
      • 図3 心音 胸骨左縁第4肋間
      • 図7 僧帽弁輪石灰化(MAC)によるMS(degenerati...
    • 症例4 70代男性.三尖弁逆流症
      • 図2 頸静脈と耳介の拍動 a
      • 図7 高圧(high-pressure)TR a
      • 図6 Rivero-Carvallo徴候 a
      • 図4 心音 心尖
      • 図4 心音 胸骨左縁第5肋間
      • 図3 傍胸骨拍動、肝拍動 c
      • 図3 傍胸骨拍動、肝拍動 a
      • 図2 頸静脈と耳介の拍動 c
      • 図2 頸静脈と耳介の拍動 b
      • 図8 低圧(low-pressure)TR a
    • 症例9 80代女性.動脈管開存症
      • 図2 頸動脈拍動 a
      • 図3 心尖拍動、肺動脈拍動 a
      • 図3 心尖拍動、肺動脈拍動 c
      • 図4 心音
      • 図6 largeシャントのPDA
      • 図7 smallシャントのPDA 胸骨左縁第1肋間
      • 図7 smallシャントのPDA 心尖
      • 図8 ASに合併したPDA
    • 症例10 50代女性.不整脈
      • 図2 頸静脈の大砲波(cannon wave) a
      • 図3 心音の大砲音(cannon sound)
      • 図4 房室ブロックのため、不規則に聴取されるⅣ音
      • 図5 PVCによるⅡ音の幅広い分裂
      • 図6 頸静脈での心房粗動波(F波)の観察 c
      • 図6 頸静脈での心房粗動波(F波)の観察 d
    • 症例11 40代女性.肺高血圧症
      • 図2 頸静脈拍動 a
      • 図3 肺動脈拍動、傍胸骨拍動 a
      • 図4 心音 胸骨左縁第2肋間
      • 図4 心音 胸骨左縁第5肋間
      • 図6 慢性血栓塞栓性肺高血圧症(CTEPH) 胸骨左...
      • 図6 慢性血栓塞栓性肺高血圧症(CTEPH) 心尖
      • 図7 特発性肺動脈性肺高血圧症(IPAH)
      • 図8 肺高血圧症に伴う高圧TR、右心のⅣ音(間質性...
      • 図8 肺高血圧症に伴う高圧TR、右心のⅣ音(間質性...
    • 症例12 70代女性.収縮性心膜炎
      • 図2 頸静脈拍動 a
      • 図2 頸静脈拍動 b
      • 図3 心尖拍動 a
      • 図4 心音 胸骨左縁第3肋間
      • 図4 心音 心尖
      • 図5 心エコー、手術所見 a
      • 図6 視診による収縮性心膜炎(CP)の診断(深いx...
      • 図7 Kussmaul徴候 a
      • 図8 奇脈の測定のしかた
  • ヘルプ
  • プライバシーポリシー
  • 動作確認環境
  • 利用規約
  • ホーム
  • カテゴリ
  • 循環器Physical Examination―診断力に差がつく身体診察! 動画・心音186点付
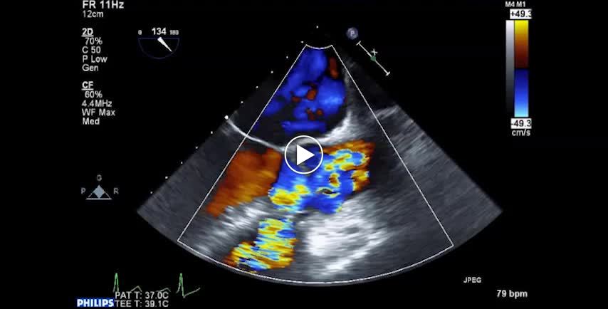
  • 12.連続性雑音の聴きかた
  • 図4 Valsalva洞動脈瘤の右室破裂(VSD合併例) b

  • 2023-01-22
  • 図4 Valsalva洞動脈瘤の右室破裂(VSD合併例) b
  • 00:00:07
  • お気に入り登録